河西走廊位于什么以西的地方(河西走廊位于什么以西的地方,为何历朝历代都极
河西走廊位于什么以西的地方(河西走廊位于什么以西的地方,为何历朝历代都极 重视) 中国的地势西高东低,呈阶梯状逐级分布。这样的地势,造成了交通不便。在甘肃西北部,有...
水银中毒怎么办(水银中毒后该怎么办?2岁孩子咬破温度计,父母这么做获医生点赞)
“你做得对啊!”
今年端午假期期间,山东青岛妇儿医院急诊室里,来了一对神情慌张的夫妇,抱着孩子就跟医生说:
“大夫啊,孩子不小心把体温计內的水银给吃了,您快想想办法吧!”
医生在查看了孩子的病情后,又询问了孩子父母的急救措施,不禁发出了这样的感慨。

命垂一线的孩子
原来这位2岁的孩子在家量完体温后,妈妈因为有事,随手就把体温计放在了桌子上。谁知孩子淘气,把体温计放在手里玩了一会儿,就往嘴里放,一下子就把体温计咬破了。一家人听见孩子的哭声,赶紧做了简单的处理后就来到了医院。

医生检查后发现,孩子的口腔內并没有玻璃碎片,拍片子后也发现孩子其实并无大碍,就问孩子的父母是否做过什么急救措施。孩子的父亲就说了,自己发现孩子咬破水银后,二话没说,首先就是清理了孩子的口腔,将玻璃碎片都取了出来,然后找了一个密封的瓶子把水银都密封了起来。这时,父亲发现孩子的口腔粘膜完好无损,也松了一口气。紧接着父亲让孩子喝了一盒牛奶。

牛奶的解毒效果
医生听完后,连连点头,夸赞这位父亲“你做得对啊”!医生解释道:水银是一种重金属,可能导致中毒,主要原因是水银会导致人体蛋白质变性,丧失其正常功能并引起人体中毒, 喝牛奶后,由于牛奶中所含的蛋白质,与人体中的蛋白质竞争水银,从而减少了人体蛋白质与水银反应,减轻了中毒和对人体的伤害,同时,牛奶中的蛋白质会与水银螯合,阻碍人体吸收水银。

此外,牛奶中所含的维生素A对呼吸道粘膜细胞也有保护作用,它也是一个高品质蛋白质来源的选择,可以保护呼吸道。同时,牛奶能够延缓胃部吸收其他物质的速度,可延缓毒物及酸碱类化学药品在胃里的吸收,但只是延缓而已,并非阻止其吸收,尤其是对于急性药物中毒才可能有少许的作用。

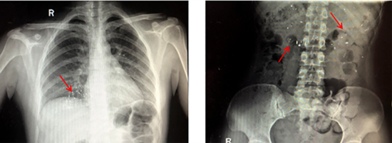
如果孩子吞食的只是少量重金属,这个方法还是管用的,但如果孩子吞食的剂量过大,还是应该及时就医。如果孩子是咬破水银,那就更危险了!万一玻璃划伤口腔,水银就会顺着伤口进入血液,出现中毒性的头晕、手脚发抖,严重还会引起肾脏损坏,危及生命。咬碎后的体温计碎片造成口腔、咽喉甚至胃肠道粘膜的损伤、胃穿孔等,后果就不堪设想了。

水银的破坏力
医生补充说道:可不要小看水银体温计里就含有那么一点点水银,它的破坏力还是十分惊人的。就那一间小点的卧室来说吧,一般也就15平方米大、3米高,而实验表明,打碎一只温度计,里面的水银全部蒸发后,立刻就能让这样的卧室汞浓度严重超标,简直比煤气泄漏还可怕!

更可怕的是,这水银挥发到了空气中,就会被人通过鼻腔或者口腔、甚至皮肤粘膜吸入到人体内,轻易地造成咳嗽、鼻咽粘膜损伤,重点的就会直接破坏我们的呼吸系统,造成水肿、甚至出现呼吸困难、胸闷等症状。

而长期暴露在汞蒸汽环境中,会引发肌肉无力、协调性变差、手脚麻痹、皮肤起疹子、焦虑、出现记忆问题、看、听跟说都变得困难等。儿童更会导致粉红症,意即皮肤会变得苍白且粉红。可能会有的长期并发症则有肾功能衰竭及智力下降。
水银温度计破碎如何处理
那如果孩子咬破了水银温度计,我们应该如何处理呢?第一步就是先把孩子带出房间,毕竟打破水银的房间內,水银挥发会充实整个房间,很容易引发汞蒸气中毒,所以赶紧把孩子带出去才是首要任务。然后就得查查孩子嘴里有没有划伤了,如果有,则需要赶紧把玻璃碎片从孩子的口里取出来,把孩子的口腔清理干净。

不仅如此,还有检查孩子的皮肤、身上有没有被划伤,避免汞通过伤口进入孩子的身体。接下来,作为应急手段,让孩子赶紧喝一些蛋清喝牛奶,用来解毒。最后,最重要的一点,就是赶紧去医院检查处理!
而对于已经被水银污染的房间,不仅人不要进去了,宠物都要离开。另外要迅速关闭所有通向其他卧室的门窗,打开朝向外面的门窗,一方面让汞蒸汽往外走,一方面也可以让新鲜空气得以流通,然后要保持至少24小时的通风环境。

在打扫残骸时更要注意了,不要用扫帚,更不要用吸尘器。而是要戴上塑胶手套,用薄卡片或纸板把水银珠给收集到空的塑料瓶中,然后在垃圾袋上要特别注明是“水银废弃物”后,再进行丢弃。

如果水银洒在地毯之类的粗糙平面上,大量的水银小球很难聚集在一起用纸片清理,这时候可以用胶带将它们粘住,然后跟胶带一起挪到塑料袋中。塑料袋建议多套一层,防止破裂和泄露。
水银温度计的替代品
正是因为水银体温计引发了这么多的安全隐患,我国出台了全新的规定。从2026年1月1日起,将全面禁止生产含汞的体温计和含汞的血压测量仪。取而代之的则是电子体温计及红外体温计。
有些网友可能担心其他产品测出来的体温数据不够准确,其实目前的各类电子体温计、血压计在使用时只要注意操作使用规范,测量的精度已经能够满足大部分家庭测温的需要了,与水银体温计相比,优势明显。

电子体温计的测温原理是利用温度传感器输出电信号。有赖于电子产品的运算速度,电子体温计能够快速测量体温,平均用时在15s左右,相对于水银体温计,节约了大量测量时间,工作效率高。而且电子体温计使用安全,测量精度高,只不过测量时需要保持固定姿势,测量位置还需要正确,不太适合年龄较小的孩子使用。

而红外体温计相信大家就更不陌生了,尤其是疫情期间。它可以将人体的红外热辐射聚焦在检测器上,再通过检测器辐射功率转换为电信号。一般在距离额头3cm~5cm处就可以进行测量, 它们的优点是3~5s即可完成测温,操作简单、读数迅速、可避免交叉感染,但红外体温计容易受环境和距离的影响,但测量精度相对较差。

毕竟,影响额头温度的影响因素太多了,室温、皮肤的干燥程度都会影响结果,刚洗过脸或摘下冰敷贴就直接测得的「体温」,也并不能反映人体的真实温度。没有任何一个正规的医疗机构会用红外体温计来作为判断发热与否的工具。但红外体温计在方便、快捷,经常用在幼儿园、游乐场、机场、火车站这种人流量大,需要快速筛查发热患者的地方。
不过,相信随着科学的进步,还会有越来越多更加快捷准确的体温计的出现,用来取代危险的水银温度计的!
河西走廊位于什么以西的地方(河西走廊位于什么以西的地方,为何历朝历代都极 重视) 中国的地势西高东低,呈阶梯状逐级分布。这样的地势,造成了交通不便。在甘肃西北部,有...
新手怎么养好石斛兰? 兰花是我们的传统名花、“花中四君子”之一,历来被视为高洁典雅的象征,至今仍是高端花卉的代表。春季是适合养兰的季节,今天来带大家认识一种适合新手...
海内存知己天涯若比邻的意思是什么(“海内存知己,天涯若比邻”是什么意思) 有朋友问: “海内存知己,天涯若比邻”是什么意思?你赞同这种说法吗? 这是名句,小孩子都能背...
美容仪哪个牌子好(在买美容仪之前,我看到这篇文章就好了) 选购美容仪 必须要谨慎, 选错了产品 ,浪费钱事小,万一毁容了,那就是 无法挽回 的灾难了。特别是现在市场上产品 品...
新手怎么下象棋 象棋初学者指南 今天带给你一份充足的象棋初学者指南,虽然长了些,但看完后就对象棋有一个清晰的概念。然后,多与人对弈,勤于打谱,复盘,棋力慢慢就会增长...
什么是前列腺增生如何治疗(什么是前列腺增生?该如何治疗?) 王先生今年60岁了,在县城里开了20多年的冷冻生鲜工厂,近期他感觉自己的肚子不太舒服,一到夜晚尿就多,基本上...
韭菜加醋能补肾壮阳吗 韭菜并无壮阳成分,被讹传那么久,傻眼了吧! 声明:本文章为微信号“健康食物”原创,转载须注明来源,否则视侵权举报。 韭菜,别名:丰本、草钟乳、起...
v 宝宝腹泻能吃什么,不能吃什么?大部分家长弄反了 宝宝腹泻是一种很常见的情况,相信妈妈们都遇到过。 如果是大人腹泻,通常自己就熬过去了,但是宝宝本身肠胃功能就比较脆弱...
煮鸡蛋不破小窍门6个常用的方法(水煮蛋总是爆壳干裂?“6个技巧”,让你成煮 蛋大师) 给大家讲个笑话, “我的一日三餐,几乎都离不开吃蛋。” 不记得具体是从何时开始了,我...
宦官是什么意思 宦官其实并不都是阉人,其实还有正常男性 中国历史上曾经有一个在现在看来很残酷的制度,那就是——宦官制度。但是人们对这个制度的认知有个误区,以为:宦官...
乙酰氨基酚作用功效(膝关节退变疼痛难忍,吃点对乙酰氨基酚就行了,不用看医 生?) 王阿姨最近膝盖痛,尤其是在上下楼梯的时候,想到小区里有好几个姐妹都有膝关节退行性病...
矿泉水是溶液吗(论,纯净水和矿泉水) 目前包装水,我们最大是两种水,一个是纯净水,一个是矿泉水,我先讲讲纯净水。 1 纯净水的起源 纯净水这个概念,不是中国产品,是外国引来...
电路仿真软件有哪些常见的(6款常用的电路仿真软件,你喜欢用哪个?) 电路仿真软件有哪些呢?今天整理了六款常用的电路仿真软件,推荐给大家。需要下载电路仿真软件的用户可...
提升执行力的9个方法 ,所有问题都从自己身上找原因,不找借口 没有任何事情比行动更重要,一切的结果都是行动的累积。 实打实干活劳动的人,遇到问题,就会想尽办法解决问题。...
如果超过预产期还没生怎么办 预产期过了还没生怎么办 一定要去医院咨询医生 怀孕确定之后,一般医生都会估测出预产期,生活中有些孕妇过了预产期还没有生的预兆。那么, 预产期...
井冈山在江西哪个市?你知道吗? 基本情况 井冈山位于江西省吉安市,地处湘赣两省交界的罗霄山脉中段,是“中国革命的摇篮”,两年零四个月的井冈山革命斗争,孕育了跨越时空...
睡眠呼吸机 6大单水平家用睡眠呼吸机,哪个品牌好?谁的使用寿命更长久? 最近有好几位网友都问我,单水平家用呼吸机挑选哪个牌子、几个品牌对比哪个好之类的问题。 今天博哥整...
复姓是什么意思 ?古代复姓为什么那么多?复姓是怎么来的? 我们 是一个独特的民族,有着不断层的文化史,有着流传千古的各种典籍,还有着世界上独一无二的“姓”,自古以来,...
宝宝 湿疹 要想宝宝湿疹好得快,做好这10件事! 天气冷下来,宝宝的皮肤问题也多了起来,其中最常见的就是湿疹。 妈妈们对于湿疹听的不少,但是在湿疹的护理和治疗方面也存在一...
业务销售技巧和话术(13种顾客,13种话术,超级实用的销售技巧!) 搞定这13种顾客,签单如此简单!! “我随便看看” “我下次再买” “别人家更便宜” …… 你是不是经常遇到顾...
油柑 窜稀神器?油柑到底是个什么神奇玩意啊? 往年,我的夏天都是靠着冰西瓜续命。今年,西瓜失宠了,因为我挖到了超级宝藏的解暑神器—— 先酸后回甜,清爽又解暑的油柑 !!...
天津属于哪个省(天津市的区划变动,4大直辖市之一,天津市为何有16个区?) 在之前的文章中,作者和大家聊了一系列关于我国各个城市区划变迁的故事,例如沈阳市、大连市等等。...
脸颊毛孔大 脸颊上的毛孔突出好难看怎么办?毛孔粗大的原因及改善方法推荐 感觉脸上的毛孔一年比一年明显是为什么?相信很多人都有这个疑问,其实这是来自皮肤两方面的问题,...
产品介绍怎么写?这个案例清晰告诉你了! 最近在新世相公众号上看到一个叫“100天进步计划”的活动! 主要是100 天, 2 万人一起读完 3 本英文原著。 每天花10 分钟读英文,有打卡、...