考驾照a2需要什么条件c1能 考驾驶证a2有什么条件
考驾照a2需要什么条件c1能 考驾驶证a2有什么条件 【卡车之家 原创】要说最近卡友圈的大事,货车驾驶证申请标准发生变化绝对算一件,变化之后,申请大型货车驾驶证的年龄下限由...
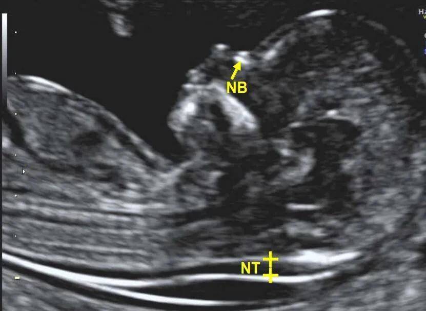
产检nt指标标准 产检nt偏高什么原因
NT检查在孕早期的产前检查中可谓是举足轻重、家喻户晓了。就因为它非常重要,所以一旦超标真的会使很多孕妇非常紧张,很多时候拿着报告单前来询问的时候声音都是颤抖的。所以我今天就来谈谈关于NT的诸多问题。

NT的中文名称叫做“胎儿颈项部透明层厚度”,也就是胎儿颈背部的皮肤和筋膜之间的带状软组织厚度。简单点理解就是胎儿在特定时间通过B超标准切面测量的颈部一层软组织的厚度。
很多孕妇很烦恼,就是检查的时候经常被告知已经超过了NT的检查孕周。那么,为什么这个检查这么苛刻,一定要挑11-13周+6这个时间范围呢?这就和NT的形成有关系了,颈项透明层其实就是在胚胎淋巴系统未完善之前,积聚在颈部淋巴囊(管)中的淋巴液。到了14周以后,随着淋巴系统逐渐发育完善,这些淋巴液就会慢慢被引流消失了。所以错过了这个时间段就失去了检查NT的时机。

不能错过就意味着它非常重要,因为一旦发现NT超标,就提示胎儿畸形的风险在增加,而且超标越多,风险就越大。目前,大部分医院的NT标准都是小于2.5mm,如果检查发现NT大于等于2.5mm就意味着超标了。和NT增厚关联最密切的问题就是胎儿染色体的异常,主要是染色体非整倍体异常。大家都知道,人类有46条染色体,也就是23对,我们把它们标记为1-22号,另外再加一对性染色体。非整倍体就是某一号的染色体不是一对,而是三条,多出来一条。和NT增厚关系最密切的就是21三体(21号染色体有三条),此外18三体、13三体、15三体、X单体(性染色体只有一条X,少了一条),三倍体(全部都多一条)等。可想而知,染色体异常必然会导致很多畸形和其他严重后果。
除了和染色体异常有关,一些NT超标的胎儿虽然染色体数目是正常的,但存在严重的畸形和一些罕见的综合征,这些很多就属于基因层面的异常了。和NT超标关联最大的畸形就是先天性心脏病,此外呼吸、泌尿、消化、骨骼系统及神经系统的畸形都可能存在。所以说在早孕期筛查NT既能够再次核对孕周,又能够进行一次严重结构畸形的筛查(无脑儿、胸外心等),可以理解为一次小排畸。最重要的是通过测量NT的厚度,来评估出染色体异常或者严重畸形的风险,敲响警钟,便于及早进行进一步检查。

当然,发现NT超标自然不开心,但也没必要恐慌。前面说了,超标越多越危险,所以80%-90%的轻度超标都是虚惊一场,通过进一步的检查评估后来证明都是健康的。但是,不能抱有侥幸心理,既然超标就不能再去看运气,而是要去看医生。产前检查医生会根据超标的多少,孕妇的高危情况,结合其他的检查确定接下来的检查方案。对于危险因素较低的孕妇,最常规的后续检查就是我们熟悉的无创DNA(NIPT),也是孕妇最乐意接受的,因为只是抽取妈妈的血就能够检查。NIPT的结果可以和NT一起作为风险的评估,但是NTPT的检查目标只有13、18、21三体,并不全面。对非染色体畸形也没有很好的办法。所以很多时候我们需要进行有创的进一步检查,比如羊水穿刺进行染色体核型分析(检查全部46条),另外要检查基因层面的还可以进一步检查CMA(染色体微整列分析),当然这些不在我们今天讨论的范围,我会在今后的文章中再讲。最后要说的是,即便是NIPT或者羊水穿刺检查正常的,在孕中期也一定记得要检查一次大排畸(就是常说的三维、四维)和胎儿心脏彩超。而NIPT或者染色体核型分析、CMA异常的,就需要进行遗传学咨询以及必要的介入性产前诊断了。总之这个时候就应该让自己的产检医生进行充分的评估从而确定最合理的检查内容。
(文章系何斌产科课堂原创,严禁抄袭)
原创写科普不易,如果觉得内容有用,请多多点赞和关注,谢谢大家!
考驾照a2需要什么条件c1能 考驾驶证a2有什么条件 【卡车之家 原创】要说最近卡友圈的大事,货车驾驶证申请标准发生变化绝对算一件,变化之后,申请大型货车驾驶证的年龄下限由...
中医爸爸治疗女儿手足口病经验分享!做好这四点,帮孩子逃过一劫 手足口病的高发期又来了,不想看着孩子遭罪,就要赶紧开始预防了,已经患病的小朋友家长也不必过于惊慌,了解...
我到底适不适合参加高职单招考试? 回顾2023年高职单招考试,在川招生的89所院校考生报名人数合计超过30万,再创历史新高。可以看出“高职单招”已经成为更多人的选择。 “统一报...
关于银行卡取钱时的那些事儿,你知道吗?不少人都忽略了这一步! 如今,随着智能手机的普及,我们的生活变得越来越便捷。无论是购物还是工作交流,手机都成为了我们的得力助手...
这几对星座CP,其实挺般配的 这几对星座CP,其实挺般配的 射手座巨蟹座 贪玩的射手与顾家的巨蟹 其实在爱情里是很契合的一对 主要的特点都能形成互补 这样相处起来会容易和开心的...
喜炎平注射剂用法用量 喜炎平注射功效与用量 本文参加【科普新星培训营】,内容为作者原创。 自《新型冠状肺炎感染的肺炎诊疗方案(试行第四版)》起,直至最新发布的试行第七...
注意!食品外包装上的这个数值,很多人都理解错了 01 “配料表”越靠前的成分 在食品中的含量越高 大家购买食品的时候,都会习惯性地看一看生产日期和保质期,却很少有人去关注...
孩子发烧,家长做到这五点好得快 文 / 中日友好医院儿科王君 编 / 蒋力 【搜狐健康】家里的小宝贝发烧了,家长抱着孩子看完病,回到家里服药观察。这时家长应该怎么护理呢?我们...
广西比较大的蛇是什么蛇 广西最大的蛇 上个月底刚有一条3米大蛇现身杭州一小区,现如今又有一条3米大蛇现身广西崇左。 广西崇左的消防员接到报警,称甘蔗地里有一条蟒蛇,消防...
出现泡沫尿的8种原因及建议 你是否有过这样的经历,冲马桶的时候,发现小便后 尿液泡沫多, 然后你就开始慌了,觉得是不是肾脏出问题了?其实,出现泡沫尿的原因有很多,今天我...
敷完面膜用不用洗?只看这几点!用对方法,不纠结 读者提问: 敷完面膜需要洗掉吗?据说不洗会闷痘? 眼看着进入换季,天际逐渐变得干燥。反正北京现在已经能感觉到明显干燥了...
榜单发布,这家企业连登 榜单发布,中国第一 3月22日中国高等教育学会2022年全国普通高校大学生竞赛分析报告发布 江苏海洋大学在 2022年 全国普通高校大学生竞赛榜单中 位列全国第18...
这几天总是感觉胸闷、气短,但是不咳嗽,这是怎么回事? 当身体出现不适症状时,人们总会想自己是不是生病了?但是要问哪里不对劲,又说不上来,反正就是感觉胸闷、气短。其实...
夏天多吃酸的有什么好处 多吃酸的食物 夏至时节,气温升高,人们容易感到疲倦和烦躁。为了保持身体的健康和舒适过夏天,我们可以遵循一句古训:“夏至多吃酸,三伏少受苦”。...
水逆是不是倒霉的意思 水逆是为什么 关注@疗愈师Siva ,跟你聊星座聊塔罗聊人生~ #十二星座那些事儿# 马上就要进入六月,要真正进入群星逆行的日子了! Siva今天跟大家讲讲啥是行星...
女人为什么会有白带?女性的白带,有什么特殊作用 #头条创作挑战赛# 这里是沈医生为你健康科普,本文将围绕白带,为你答疑解惑! 子宫是女性独有的器官之一,可以孕育婴儿,也...
蔡依林的日不落是翻唱的吗 我想听蔡依林演唱的日不落 各位勇士们,新鲜出炉的DNF阿破克烈版《日不落》的歌词,你们都看到了嘛~ 要知道,这一版专为勇士重新填词的《日不落》,里...
它是人体的“长寿营养素”,1个公式、5个技巧教你吃对 提到膳食纤维,大家应该都不陌生。每当便秘时,很多人就会想到多吃点膳食纤维,来帮助排便顺畅;减肥时,也会想着多吃点...
英文月份缩写大全 日常怎么写 英文月份缩写对照表 原理是通过首字母判断是几月份,如果首字母重复则锁定范围在2~3个月,然后通过具体字母定位是几月份 中文:英文【缩写】 一月...
新一轮降雨过程来临 新一轮强降水天气 来源:【昆明日报-掌上春城】 掌上春城讯 8月26日,记者从云南气象获悉,受冷空气和暖湿气流共同影响,预计8月26日夜间至28日云南省自北向南...
心理学:一个人越是情商低,越会让人不舒服 有人说,智商高的人未必情商也高,而情商高的人比智商高的人在人际交往方面更具有优势地位。 所谓情商,是指一个人对自我情绪以及...
苏州 上海 地铁 苏州上海地铁互通规划 苏州轨道交通11号线通往上海地铁的检票通道 沪苏“11号线”正式牵手。 6月24日,记者从苏州轨道交通获悉,6月24日上午11点,苏州轨道交通11号...
鱼油降血脂的作用机理 鱼油之所以可以降血脂是因为其含有什么 鱼油一直是社会中的一种热议保健品,当它出现的时候,总是会和心脏、血压以及血脂等身体关键指标挂上联系,比如...
极简风是什么风格 喜欢简约风 大多数人在穿衣打扮上都是通过不断摸索提升造型档次,而这也是化繁为简的过程。很多人刚开始学习穿衣,可能会尝试各种各样的单品,着装风格也不...