家庭自制焖面用生面还是熟面,经大厨指点做出的焖面不碎,不粘锅
家庭自制焖面用生面还是熟面,经大厨指点做出的焖面不碎,不粘锅 焖面是一种传统小吃,因口味浓郁很适合大众的口味并且其可以放入各种青菜,放在一个锅中一起闷出的味道真的是...
看完才知道,和陌生人接吻的风险这么大

在一段亲密关系中,接吻是必不可少的内容,然而当情之所至的时候,你是否有时间停下来考虑一下安全问题?尤其是你对这个人并没有足够了解时?
虽说我们通常倾向于将性传播疾病和感染与性行为相关联。但你别忘了,亲吻某人后也有可能生病,有一些比较轻微,而另一些则要可怕得多。以下是四种可以通过与受感染者亲吻而传播的感染,不妨了解一下:
1. 疱疹
口腔疱疹通常被称为唇疱疹,是由1型单纯疱疹病毒引起的。这是通过接吻传播的最常见感染,而且女性比男性更容易感染病毒。另外,如果你的口腔或嘴唇上有任何溃疡,传播的风险也会更高。所以医学专家建议你在亲吻某人之前,快速查看对方活自己的口腔区域,因为与疱疹相关的水疱和疮是非常明显的。

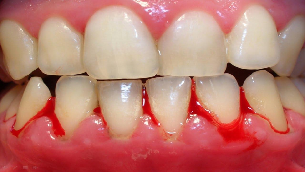
2. 牙龈炎
牙龈炎是牙龈的炎症,这是种轻微的牙龈疾病,引起炎症的细菌可能通过与唾液接触而传播。亲吻患有牙龈疾病的人,可能会导致你也出现牙齿问题。而保持良好的口腔卫生,比如每天刷牙两次,使用牙线等,是保护自己免受这些细菌侵害的最佳方法。
3. 单核细胞增多症
传染性单核细胞增多症,有时也被称为“接吻病”,是由爱泼斯坦—巴尔病毒,这是疱疹病毒科的一种病毒引起的。除了接吻外,它还可以通过咳嗽、打喷嚏、共用牙刷或眼镜等传播。一旦感染,你可能会出现极度疲劳、喉咙痛、发烧、食欲不振和淋巴腺肿大等症状。
在感染后几个月内,病毒可以一直留在人的唾液中。所以,建议你在退烧后一周内,都要避免接吻,也不要与人分享食物或饮料。
不过大家也别太担心,它的传染性没有感冒强,并且最有可能影响年龄在15至30岁之间的年轻人。

4. 梅毒
虽然与通过性行为传播相比,通过亲吻某人感染梅毒的可能性很小,但不是不可能。梅毒是一种传染性很强的疾病,其特点之一就是出现口腔溃疡。这种溃疡通常是圆形、糜烂性的,这可能有助于细菌(梅毒螺旋体)通过密切接触传播。所以,和陌生人接吻被传染梅毒,这是很有可能的事情,也是我们最不希望看到的事情。
家庭自制焖面用生面还是熟面,经大厨指点做出的焖面不碎,不粘锅 焖面是一种传统小吃,因口味浓郁很适合大众的口味并且其可以放入各种青菜,放在一个锅中一起闷出的味道真的是...
河北省石家庄市简介 河北省石家庄市简介。 石家庄市简称石,旧称石门是河北省辖地级市省会,是国务院批复确定的中国京津冀地区重要的中心城市之一。截至2022年全市下辖8个区11个...
何猷君:不仅是赌王之子,更是商界跨界新宠的传奇风云人物 在娱乐圈璀璨的星光之中,有一位名字响彻商业界和社会的人物,他不仅是赌王何鸿燊的儿子,更以其非凡的商业头脑和跨...
子婴究竟是秦始皇弟弟,还是儿子或者孙子?《史记》想说什么 在中国历史上,有一个著名的皇帝——秦始皇。然而他的后代命运却充满了神秘和争议,其中最为人所知的就是关于子婴...
杨紫是否真如传闻中的整过容,看过这几张照片你就明白了 杨紫最近比较火,不仅是网剧白蛇传说引发了关注,古装剧《香蜜沉沉烬如霜》更是在开播后引发强烈反响。其实不管是白蛇...
想了解月子中心怎么加盟?经验无保留分享 近年来,人口红利进一步释放,月子中心行业发展迅速,布局也从一、二线延伸至三、四线城市。根据艾瑞咨询统计:2021年中国母婴消费规...
广佛肇城轨时刻表和票价正式出炉!票价你肯定想不到 佛肇城轨终于要开通啦! 确定是3月30日通车 目前,12306已经能买票了! 大家关心的时刻表和票价,也终于现出庐山真面目了。...
出行注意!我市12路公交车调整运行时间 12月31日,记者从大庆市油城公交公司了解到,根据目前部分公交线路客流量、单程运行时间以及运力发生变化, 油 城公交公司将从2022年1月1日...
百度在春晚发9亿红包,平均每个人能分到多少? 后天就是除夕了,相信很多人已经迫不及待想要在春晚抢红包了。今年,春晚将和百度合作给全国人民发九个亿的红包,这超过了之前...
白宇的影视剧盘点 电视剧盘点: 2014年《屌丝日记》饰演尤东东 2015年《少帅》饰演冯庸 2015年《长大》饰演谢南翔 2016年《美人为馅》饰演韩沉 2016年《微微一笑很倾城》饰演曹光 201...
2吨重龙虾拼盘令吃货们欲罢不能 龙虾宴 中国自古就有民以食为天的说法,这说明了吃在人民心中的重要性。古时候吃绝大多数为了生存,随着社会的进步,吃不再是为了生存了,而已...
徐州宝莲寺 #徐州头条# #徐州身边事# 徐州宝莲寺是南朝宋时期高僧法显西去印度取经后,按照印度风格指导建造的佛教宝刹,几经易名,到清乾隆时定名为宝莲寺,解放前被毁。 2009年...
文末福利|安排上了!带你去罗莎吃月饼! 轻轻地将月饼掰开 流心馅缓缓溢了出来 这样的一只罗莎月饼 究竟是怎样炼成的? 芒果都市携手罗莎 持续推出重磅福利! 赶紧报名 跟小妹...
薇婷脱毛膏怎么样?好用吗? 自认为Veet薇婷是个很不错的脱毛品牌,它家的其他脱毛产品我不敢说,但是脱毛膏真的不错,要不我也不会用了这么多年,一直无限回购! 首先,薇婷脱...
推荐五部量大管饱的霹雳布袋戏小说 1、剑行霹雳天之道 作者:我是旅行者 字数:323万 连载中 简介:玉笔难图,千篇离骚,一祭山河几春秋? 天道崎行,剑越青冥,斩尽江湖万古愁!...
求最小公倍数的方法 在听课时,老师讲完最小公倍数的知识后,让学生做练习,其中求3和51的最小公倍数,大多数学生3乘以51,得数153为两数的最小公倍数。未考虑到51为3的倍数,51是...
今晚19:30,辽宁卫视春晚节目单官宣啦 辽宁卫视2024年春晚节目单终于官宣啦!这个春晚节目丰富多元,充满了东北的年味。白举纲、李斯丹妮、郑恺将为我们开场,而冯巩、贾冰、宋小...
走进县城看发展:河北省邯郸市涉县 #头条创作挑战赛# 走进县城看发展: 今日分享:河北省邯郸市涉县 涉县位于河北省西南部、晋冀豫三省交界处,素有“秦晋之要冲、燕赵之名邑”...
印章眉粉你知道多少? 眉毛决定了一个人90%的妆面印象,嬉色印章眉粉官方调查中发现,有60.9%的人,在日常打造眉部妆容时会用到“数种组合”,包括了:眉笔、眉粉、眉胶、染眉膏...
一拳超人重置版185话:卷土重来,S级英雄大战龙级干部 一拳超人重置版终于迎来更新 转自一击男吧-厦大小团君,共32P,跨页算1P 不知是村田跟ONE老师闹翻了还是什么 一直在重画以前...
偏执型人格有多可怕,快看看自己的灵魂伴侣有没有以下特征 偏执型人格又叫妄想型人格。其行为特点常常表现为:极度的感觉过敏,对侮辱和伤害耿耿于怀;思想行为固执死板,敏感...
你从未注意到的情人节皮肤彩蛋 ,卢锡安与奎因 每当情人节来临,各大游戏厂商都会推出各式各样的节日活动,英雄联盟召唤师峡谷也开启了一次又一次的情人节主题活动,从2012年开...
乐高课程简介 乐高课程是一门涉及自然、地理、历史、天文、人文、机械学、电子学、工程学、自动控制、计算机、人工智能等方面的综合性学科。 乐高活动 孩子们在课堂中以“玩中...
国产手机山寨之王倒下,辉煌时请王宝强代言,如今官网沦为摆设 目前,国内手机市场规模不断萎缩,各品牌为保住自己的市场份额,只能不断提高产品质量,压低价格来吸引消费者。...