最美王妃的女儿长大了,一副傲娇高冷模样很有范儿
最美王妃的女儿长大了,一副傲娇高冷模样很有范儿 上王室专辑咯~ 摩洛哥小公主长大啦,上月底静悄悄过14岁生日,没有官方照,没有母亲相陪。 F君写过她母亲,摩洛哥王妃拉拉·萨...
12岁女童杀害8岁妹妹,真相毁三观:这样为人父母,注定失败
不知道大家有打过自己的孩子吗?还记得第一次是为什么吗?
上周末,我去朋友小茵家做客时,她4岁的儿子正在客厅玩皮球,小茵劝说了几次让他进房间玩,可小家伙不听。
结果,一不小心皮球撞倒了茶杯,玻璃渣碎了一地。
小茵赶忙大叫着让孩子别靠近,往后面退,可顽皮的小家根本不听还伸手去碰玻璃渣,娇嫩的手指瞬间被划破,鲜血直流。

看到这里,小茵气得一边大骂孩子,一边猛抽了好几下他的屁股。孩子顿时就哭了,嘴里还叫嚣着“妈妈坏,妈妈讨厌!”
事后孩子被保姆带走包扎伤口,我就安慰小茵,结果她忍不住哭出声来:
“自从前几个月我失手打了他一次,我就好后悔!我知道打孩子不好,可后来每次他不听话时,我总是忍不住就打了他……”
其实,很多父母都深知「打在孩身,痛在娘心」,却还是忍不住打孩子。

究其根本,是因为这种打骂式教育,它具有强大的震慑性,能立马就让孩子停止犯错,省时又省心,哪个父母不喜欢呢?
但你们是否想过,这种方式下,受益的只有父母,最大的受害者,始终是弱小的孩子。
很多时候,打孩子就像家暴一样,只有零次和无数次的区别,一旦父母沉浸在用体力压制孩子的快感时,就很容易上瘾。

长期被打的孩子智力发育会受阻碍
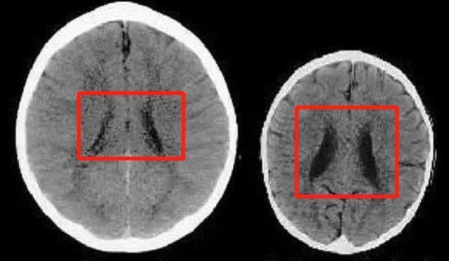
科学家曾做过一项研究,经长期跟踪扫描两个3岁孩子的大脑图形,观察他们的大脑发育差异。
其中,一个孩子的妈妈温柔善良,遇事会和孩子耐心沟通;
而另一个孩子的妈妈冷漠自私,不仅经常忽视孩子的需求,心情不好还会虐打孩子。
长期以往,同龄的孩子在不同的妈妈抚养下,大脑发育也大相径庭。如下图中,左图是第一位孩子的(被温柔以待),右图是第二位孩子的(常被打骂)。▼

图片来源网络
神经学家解释,大脑中的黑色区域越大(如右图),则意味着孩子的大脑容量越少。
父母长期的打骂,会让孩子从潜意识认为,遇事不顺的时候就要用暴力处理,这会导致他们的同理心、共情力发育迟缓。
同时,左右两半脑既相互独立,又彼此影响。
当孩子受责罚时,负责情绪、空间感知等功能的右半脑会处于紧张、压抑的状态中,势必会影响负责语言、数字运算等功能的左半脑发育,从而抑制孩子正常的智力发展。

久而久之,长期遭受打骂的右边孩子,成年后会更具攻击性,自信心不足,抗压能力更差。
而左边的孩子,则完全相反。他善良,懂得包容,长大后越有机会获得成功。
由此可见,长期被打骂的孩子,他们的生理会在潜移默化中被影响,从而无法正常发展。

被暴力充斥的孩子心里会产生巨大阴影
知名育儿博主王人平,就曾揭露过打骂会给孩子带来的进一步后果:
一是孩子被打服了,表面变得言听计从、实则胆小怕事、唯唯诺诺;
二是被打习惯了,变得刀枪不入,脾气暴躁,崇尚暴力;
三是学会了讨巧,阳奉阴违、两面三刀、人格分裂。
父母打骂孩子,也许就几秒钟、几分钟的事,可留给孩子的心理阴影,却是一辈子的。

在知乎有一个提问「从小动辄挨打被骂的孩子,长大后会有什么心理问题吗?」
@匿名网友:9岁那年,父亲让我去小卖铺买酱油,还剩下一点零钱我就买了颗小弹珠玩。
半路上,我一不留神,弹珠飞出去,手一滑酱油瓶就打破了。
回到家,父亲看到了酱油瓶的残渣,二话不说反手就是一巴掌,把我打得顿时鼻血直流。
我始终不敢相信,为了一瓶区区几块钱的酱油,父亲竟能下如此毒手?!
本以为是如山的父亲,此刻却犹如一只发狂的野兽,龇牙咧嘴可怕极了!

从那一天起,我心中的父亲形象轰然倒塌了,我跟他之间也产生了隔阂。
我开始惧怕犯错,每次手里拿着东西时,总会不自觉想起那瓶没拿稳的酱油,以及父亲重重的一巴掌。
就算犯了错,我也不敢再让父亲知道,不管有多委屈、痛苦,我都默默忍受着。因为我怕再次看到他狰狞的面孔,再被歇斯底里地暴打一顿。
本应是最亲近的人,如今却变得如魔鬼般令人胆战心惊……
后来,纵使我长大了,逃离了父亲,但多年来做事畏手畏脚已深入我骨髓,让我不论是生活还是工作上,都小心翼翼,生怕犯错后被人嫌弃。

很多家长坚信「棍棒底下出孝子」,认为孩子是「不打不成才」。
不可否认,当孩子犯错时打一顿,可以及时阻止事态的恶化,也能让孩子知道犯错而暂时收手。
但你们有没有想过,为了让孩子“长记性”就必须打骂他们,这样的逻辑对吗?难道不畸形吗?
就像上面那位网友,最后父亲确实用暴力养出了,一个不敢反抗的“孝子”,可这样的结局真的好吗?
为人父母,当然有惩戒孩子的权利,但如果过程中无法保持理性,那么打孩子就会变成父母借教育之名,行发泄情绪之实。

前不久,看完电影《小委托人》时揪心不已,可当我知道,这部电影竟改编自真实事件时,更是久久无法平静。
它就是轰动一时的“漆谷虐童案”:
2013年8月,在韩国庆北漆谷郡,一名8岁的小女孩腹痛难忍,死在了去往医院的路上。

经医护人员证实,小女孩的死因是“外伤性腹膜炎”,也就是说,她是被人暴打狠踢腹部,活活致死的。
在警察调查的过程中,小女孩12岁的姐姐却出来自首,说是因为与妹妹抢玩具,才动手打死了妹妹。

可一个年仅12岁的孩子,哪有如此大的力气能踢死妹妹呢?
随着调查的深入,血淋淋的真相终于浮现出来,凶手其实是孩子们的母亲!
平常只要姐妹俩犯点错,就会遭到母亲一系列惨无人道的对待:除了毒打以外,继母还会逼孩子们吃下沾有排泄物的卫生纸,把她们头硬往装满水的浴缸里压,拍摄裸照……

眼睁睁看着妹妹死去,12岁的姐姐太过恐惧,害怕也会遭到不测,才不得不出来自首。
记得电影中,母亲在法庭上还义正言辞地说:“我只是作为一个母亲,在教育自己的孩子,让他们认识到错误。”

教育孩子,就可以失去理智,将孩子当成情绪的发泄捅吗?
教育孩子,就可以不把他们当人看,下手有多重就多重吗?
教育孩子的方式千千万,但唯独最不应采用的,就是这样的严惩!
可很不幸,许多父母还是坚信着打骂教育:
因不回家吃饭,母亲在电梯里暴打孩子近一分钟;
因误拿同学的铅笔,被父亲打致双手肿痛,差点致残;
因弄丢妈妈的手机,遭到妈妈一整夜的殴打身亡
……

太多太多的惨剧,都再一次次提醒我们:打孩子根本不是教育,是父母的暴行!
当我们被负面情绪冲昏头脑时,理智早已丧失,是不可能站在正确的立场上,去正视孩子的错误。
稍不注意,就会错把撒气当成了教育,把宣泄当成了惩戒。
到头来,伤的最深,痛的最久不还是只有孩子吗?

我想作为家长,所谓的“打骂”也是希望能教育好孩子,让他们别走歪路。
只不过,教育的方式可远不止打骂这一种,还有很多温和的方式,更能事半功倍。

1、理解孩子,找出问题所在
比如朋友小茵,当她儿子非得在客厅打皮球时,可以先站在孩子的角度,试着理解他:
“你是不是不想一个人在房间?”
“你是想让我们陪你玩皮球吗?我知道你很喜欢这颗皮球。”
当孩子感到被理解,情绪就会比较缓和,这有利于进一步沟通和教育。

2、巧用小惩罚来教育孩子
曾有网友分享道,自己也会惩罚孩子,不过是带有娱乐性的。
比如孩子又随便丢东西,不收拾房间,就罚他们吃一天讨厌的蔬菜或者水果。
或者准备些黄豆、绿豆、红豆混杂在一起,然后让孩子在限定时间里,把同色系的豆子分类好,没做好就不能做他们想做的事。
在起到惩罚的威慑作用的同时,锻炼孩子的纪律性、耐性。

3、狠下心采用“自然后果法”
在育儿上,我是一个“狠心”的妈妈。
如果孩子上学赖床不起,催过一次后我就不再催。他迟到了就会面对老师的责罚和同学异样的目光,这样他会羞愧便不敢再随便迟到。
或者,天气冷孩子却不肯添衣,适当的情况下我会由着他,感冒难受了,他就会尝到苦头了。
不过,“狠心”的前提是孩子所承担的后果并不严重,还在可承受范围内。

郑渊渊洁在《父与子》里写道:
打骂孩子的爸爸都不是男子汉,是懦夫……孩子是你生的,如果你不满意,就打自己。打孩子算什么?又不是孩子非要让你把他生出来的。
说实话,我不敢保证,以后孩子是否会记得,当初你为了教育而打他们的苦口婆心;
但多年之后,他们一定会记得,当时你抡起拳头,龇牙咧嘴的模样是多么可怕。
你们也不希望,最后的结局变成这样吧?
最美王妃的女儿长大了,一副傲娇高冷模样很有范儿 上王室专辑咯~ 摩洛哥小公主长大啦,上月底静悄悄过14岁生日,没有官方照,没有母亲相陪。 F君写过她母亲,摩洛哥王妃拉拉·萨...
越南也有“薇娅”了,中国人打造的 作者:莫奈 编辑:宝珠 越南,似乎越来越热。 胡志明市的街头,川流不息的摩托车大军昭示着城市的活力和年轻,年轻人占据了越南发展的主力...
赢了一辈子,却输给了三个孩子,“女枭雄”司徒玉莲的风云人生 文:话多多 受疫情影响,我们假日酒店已经有十八个月没有收入了。 从今天开始,我们挂牌停业。 这是2021年7月,司...
央企打造PPP模式范本——阳逻之心 本报记者 索寒雪 武汉报道 什么是真正的智慧城市?生活在智慧城市的居民是怎样一种感受? 天空不会被电线和高压线密布,市政交通的信息被系统...
锦子会教程没有天赋能做设计吗? #锦子会教程#没有天赋能做设计吗? 没有天赋能做设计吗? 其实设计师这个职业很奇怪,有些根本没有绘画功底的,却能做的非常优秀,有些科班出...
叶璇不是中降头,是真的脑子坏了! 今天给大家扒个有毒的瓜。 叶璇输了官司还耍赖后,今天又干了一件巨low无比的事儿。 说之前简单给大家回顾一下故事前情:↓ 这是一个由叶璇的...
上手一部“拍片神机”!视频拍摄效果太顶了 “鸭鸭,公司的同事们都太卷了!我不想上班了……” 在本鸭的各大粉丝群里,天天都能听到类似的抱怨。、 这……同样作为“打工人”...
500斤胖子去世,火葬足足12小时,火葬场员工一席话让家属暴怒! 近日网上热议一名男人体重重达500多斤,因为肥胖连带来了一身病,最终不治而亡,家里人十分痛心,怀着悲痛的心情...
有趣的钱币之非洲篇——埃及镑 我们今天来讲讲一个非常古老的国家埃及的纸币——埃及镑。 阿拉伯埃及共和国(The Arab Republic of Egypt),简称“埃及”。位于非洲东北部,地处欧亚非...
百米大楼斜而不倒!网红重庆到底有多“奇葩”? 最近自带网红体制的重庆 又成功登顶热搜 嗯,没错 重庆人又新盖了个奇葩建筑 “百米倾斜大楼” 这两栋大楼从底部到楼顶 均呈倾斜...
洋码头结构性盈利 曾碧波中场不休息 老虎不发威,许多人会以为你是病猫。洋码头在刚刚过去的9月自证了这一点,它刚刚实现了结构性盈利,这距离它创立的2009年,过去了8年。但这...
在海口吃年夜去哪吃好呢?瓦片烤肉告诉你,用烟火升腾年夜饭的温度! 提示 : 点击关注 ↑ 海口热点 海口美食、海口旅游,最新资讯一手掌握! 生活越来越好,而年味却越为越淡。...
杰登·桑乔:背井离乡的天才少年,即将书写新一代足球华彩篇章 “他能够增强任何一支球队的实力。”在德甲拜仁慕尼黑与多特蒙德的天王山之战结束后,获胜方拜仁慕尼黑现任董事...
他是真的不想娶吧?连新家装修都偷偷瞒着她… 最近杨迪的分手瓜大家都吃到了吧。 大人发现,恋爱长跑多年但迟迟不肯结婚的情侣,真的很容易分手… 就说Nadech和Yaya这对泰国国民顶...
英国最短任期首相诞生,45天里安葬了女王,埋掉了英镑,开除了财相? Part1 在任仅45天后,英国首相特拉斯10月20日正式宣布辞去首相和保守党党魁职务,成为英国历史上在位时间最短...
公务员分类改革:区分工作属性,拓宽晋升渠道 改革依据什么,想必大家都知道吧!依旧就是国家颁布的改革指导意见,2017年注定是不平凡的一年,不少改革方案都已经出台,开始实施...
送给女友的小奶猫,十分可爱,给我来一打! 主人家刚刚养了一只小奶猫,这是主人送给女朋友的礼物,猫咪非常的小,一个手机盒就可以装得下 小奶猫躺在盒子里面安静的睡着了,...
送你15首感恩节经典老歌,好听醉了!值得珍藏~ 今天是11月23日感恩节,虽然这是外国的节日,但我们也可以借用这个节日,来感谢一直陪伴在我们身边的人,比如说老伴、朋友、群友...
当诗词遇上樱花,贵安樱花园的春日浪漫溢满…… 【当诗词遇上樱花,贵安樱花园的春日浪漫溢满……】#来贵阳上春山赏春花# 风吹二三月,目光所及之处尽是春意盎然。樱花满枝,落...
30首绝美爱情诗词 看古人如何表白 适合隐晦公布恋情的文案来一把高端局么 “玲珑骰子安红豆,入骨相思知不知”、“曾经沧海难为水,除却巫山不是云”…30首爱情诗词??用古诗词刷...
啊喂怎么回事啊怼怼王黄子韬这次怎么变如此之羞涩…… #黄子韬被捧脸杀害羞了##黄子韬被男生叫宝贝的反应# 啊喂怎么回事啊怼怼王黄子韬这次怎么变如此之羞涩,原来是遭遇了捧脸...
不得不说,周震南是懂怎么勾起大家的好奇心的…… #周震南微博全是拳头#不得不说,周震南是懂怎么勾起大家的好奇心的。这谁不想去听听他的新歌,看看他的新歌《Revelation》《Sa...
随州东方家园怎么样 随州东方家园价格 随州东方家园售楼咨询电话:4006902066 转 612004 随州东方家园是随州曾都的新楼盘, 开发商暂无资料, 东方家园普通住宅产权为70年, 开盘时间待定...
心疼《平凡之路》里的左娜,一个人对抗全世界,不管别人怎么劝…… #平凡之路父女谈判局#|#平凡之路人间清醒左娜# 心疼《平凡之路》里的左娜,一个人对抗全世界,不管别人怎么劝...